
Régulation médicale de 18h30 à 8h30 des urgences adultes : accès sur appel préalable au Centre 15
Flash info
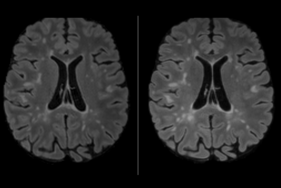
Avec 1,8 millions de personnes atteintes dans le monde, dont 112 000 uniquement en France, la sclérose en plaques est une pathologie complexe et hétérogène pour laquelle plus de quinze médicaments sont aujourd’hui disponibles. Déterminer le traitement le mieux adapté à chaque patient est donc un enjeu tant en matière de recherche et de soins que de coût économique.
« Concrètement, l’outil issu de ce programme permettra au neurologue de visualiser les évolutions de la maladie à partir de populations SEP ayant les mêmes caractéristiques cliniques et IRM que le patient pris en charge, mais ayant bénéficié de différents traitements, afin de choisir le plus adapté. » Pr Gilles Edan, Service de neurologie du CHU de Rennes, équipe Empenn, CIC Inserm 1414